Aparat dentar invizibil

Aparate dentare si tratamente laser fara durere

Iti putem reda zambetul mult visat, cu ajutorul aparatelor dentare invizibile. Fara batai de cap sau durere.

Fa cunostinta cu Dr. ortodont Monica Popescu

Programeaza o consultatie

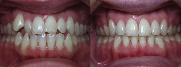
Beneficiile aparatului dentar invizibil

Ai nevoie de aparat dentar invizibil?

Clinica de stomatologie pentru copii

imagini camera intraorala

Scanare digitala intraorala

Ortodontia reprezinta o ramura specializata a stomatologiei care are ca obiectiv principal imbunatatirea aspectului estetic, corectarea pozitiei si, mai ales, optimizarea functionalitatii dintilor. 

Radiografie Dentara

Radiologie

Tratamentele stomatologice cu laser la copii sunt minim invazive si elimina riscurile de traumatizare accidentala a gingiei, obrazului sau limbii, asigurand siguranta micilor pacienti. 

tratament carii la copii fara durere

Laser dentar

Tratamentele stomatologice cu laser la copii sunt minim invazive si elimina riscurile de traumatizare accidentala a gingiei, obrazului sau limbii, asigurand siguranta micilor pacienti. 

Aparate dentare clasice

Aparatele dentare clasice reprezinta cea mai cunoscuta si utilizata metoda de corectare a alinierii dintilor. Acestea sunt compuse din bracketuri metalice care se fixeaza pe fiecare dinte si sunt conectate intre ele prin intermediul unui arc metalic. Tensiunea aplicata de acest arc exercita o presiune controlata asupra dintilor, ghidandu-i treptat spre pozitia corecta.

Desi la inceput pot parea incomode si mai vizibile comparativ cu alte optiuni moderne, aparatele dentare clasice sunt extrem de eficiente si ofera rezultate durabile. Ele sunt potrivite pentru tratarea unei game largi de probleme ortodontice, de la alinierea dintilor strambi pana la corectarea muscaturii.

Aparat Dentar Clasic

Beneficiile aparatului dentar clasic

Cum se monteaza aparatul dentar invizibil?

Montarea aparatului dentar invizibil începe cu o consultație la ortodont, care evaluează starea dinților și decide dacă tratamentul cu alignere este potrivit. Se realizează o scanare digitală sau o amprentă a dinților pentru a crea gutierele personalizate.

Pe baza acestei scanări, se dezvoltă un plan de tratament detaliat care indică mișcările treptate ale dinților. Alignerele sunt confecționate și pacientul le primește pentru a le purta zilnic, cu controale periodice pentru a monitoriza progresul.

La finalul tratamentului, se folosesc gutierele de contenție pentru a menține poziția obținută. Această metodă este discretă și confortabilă, potrivită pentru cei care doresc corecții dentare fără brackeți vizibili.

Ce spun pacientii ?

La Life Dental Spa, pacienții noștri își împărtășesc experiențele pozitive și transformările pe care le-au trăit. Apreciem fiecare feedback și ne străduim să oferim cele mai bune servicii pentru a ne asigura că fiecare vizită este o experiență plăcută și reconfortantă.

Suna

Program L-V: 09:00 - 21:00

WhatsApp

Program L-V: 09:00 - 21:00

Trimite-ne un email

Raspundem in max 24 de ore

Formular de programare

Program L-V: 09:00 - 21:00

Consultatie stomatologica
97 Lei

La clinica Life Dental Spa, consultația de specialitate este oferită de Dr. Monica Popescu la prețul de 97 lei. Utilizam tehnologiil moderne și tratamente minim invazive, asigurând o experiență plăcută și eficientă pentru pacienți. Life Dental Spa are ca obiectiv să ofere servicii stomatologice de înaltă calitate, adaptate nevoilor fiecărui pacient.

Solicita o programare si primesti: 50% reducere la consultatia cu camera intraorala.

10% reducere la orice aparat dentar.

Plata in rate: 997 lei/luna

Pacientii ne recomanda!

Ce ne recomanda?

Îți garantăm o experiență fără durere, care îți va schimba nu doar felul în care arată dantura, dar și atitudinea, viața socială și masticația, care va fi realizată în sfârșit corect.

100.000 +

pacienti

80.650

implanturi

30.000

tratamente parodontoza laser BIOPARO

150.000

carii tratate cu laser - fara durere

50.000

Coroane Dentare Zirconiu Premium Multilayer

16

clinici Laser la nivel national

De ce sa alegi clinica Life Dental Spa?

icons8-doctor-100

Medici cu experiență vastă

icons8-ct-64

Radiologie

icons8-treatment-90

Tratamente Minim Invazive

icons8-tooth-pain-64

Tratamente Fără Durere

icons8-tooth-protection-64

Utilizarea Laserului Dentar

icons8-bio-64

Materiale
Biocompatibile

Etapele pentru realizarea procedurii

1. Prima etapa

adunăm toate informațiile despre pacient prin: scanare digitală fotografii radiografie pentru realizarea simulării

vizualizam împreună simularea în care pacientul primește toate detaliile despre tratamentul Orto: nr alignere, timp, cost .

montarea aparatului Orto mai exact a primului set de alignere și pacientul este învățat cum să schimbe singur gutierele și cum să le îngrijească

Află ce buget este necesar pentru a-ți transforma zâmbetul.

Trimite radiografia dentară și vei primi un plan de tratament personalizat.

Comentarii pacienti

eee
Eduard A.

Totul a fost uimitor. Interiorul, amabilitatea personalului, atmosfera, totul la superlativ.
Dna doctor Cristina Obreja este dincolo de cuvinte. Este din alta realitate și reușește cu abordarea holistica sa producă conștientizari reale.
Am revenit la tratament la dna doctor Maria Bogdan. Mi-a fost recomandata ca fiind o profesionista desăvârșită. Doar ca acesta recomandare a fost doar vârful aisbergului. De când am întrat în cabinet și pana am ieșit, am avut un sentiment total de liniște, pace și calm. Profesionalismul, empatia și umorul dnei doctor Maria Bogdan au fost dincolo de toate așteptările și proiecțiile mele. Totul a fost ca într-o poveste cu final fericit. Pentru prima oara am simțit ca îmi doresc cu adevărat sa revin la dentist și nu numai pentru tratamentul danturii ci și pentru energia d-nei doctor Maria Bogdan. Energie care este parte integranta din tratamentul holistic promovat de filozofia Life Dental Spa. Pe lângă faptul ca voi reveni cu mare drag la acesta clinica, voi recomanda tuturor sa guste din filozofia de viață promovata de dna doctor Cristina Obreja si Life Dental Spa.

A-2
Andreea C

 Am pășit cu încredere în această clinică deoarece, Dna Dr Sultan Ana Maria mi -a oferit toate detaliile încă de la începutul tratamentului, a dat dovadă de răbdare și profesionalism și mi a ascultat fiecare idee , explicându mi ce este corect și ce nu .
Rezultatul a fost woaw și din punct de vedere estetic ,funcțional dar și financiar , adaptat nevoilor mele și cu ocazia aceasta îi mulțumesc încă o dată dnei Dr Sultan !
Fetele de la recepție sunt super drăguțe și colegele lor , asistentele sunt la fel de drăguțe și atente la nevoie pacientului ! Mulțumesc 🙏!

eee
Eduard D.

Am aflat de LIFE Dental Spa de pe Instagram. „Spa” m-a făcut curios…hei, chiar asa, ia sa dau o tura pe acolo. Am ajuns la clinica de la Victoriei (Str. Frumoasa). Ședința de igienizare a fost ca la Spa. Apoi, consultație cu camera intraorala, plan de tratament. Totul, profesionist! Personalul foarte drăguț, locația este într-o vila superba, totul super! A, sa nu uit! La fiecare programare am primit câte un discount 😇

m
Mihai S

Am ajuns in aceasta clinica in contextul unui voucher primit la un concurs al unui provider de telefonie mobila. Desi un pic sceptic la inceput-mai ales dpdv al ofertelor „prea frumoase ca sa fie adevarate”, am ramas profund surprins de calitatea serviciilor si profesionalismul personalului, atat cel al frontdesk, cat mai ales al celui medical (dna dr. Sultan Ana Maria). Mi s-a explicat in mod detaliat in ce vor consta procedurile, fiindu-mi furnizate toate aspectele de interes la intrebarile adresate. Am primit inclusiv un plan de tratament, setat strict pe problemele identificate. In mod cert voi reveni. Recomand – 100% calitate si profesionalism. Echipamente si proceduri medicale de generatie noua, menite sa te scape de frica de dentist si durerile specifice interventiilor stomatologice.

A-2
Alexandra C.

Echipa clinicii este profesionala si indreptate spre a ajuta pacientul sa treaca cu brio de emotii.

Medicul si asistenta sunt foarte empatici. Mai ales ca eu alaptez si nu mi-e usor psihic sa vin la stoma. Dar am primit foarte multa intelegere si sustinere. Pana acum am rezolvat 5 carii profunde fara anestezie si fara durere 😍

Mi se explica la fiecare pas ce se intampla. Aparatura clinicii este de ultima generatie.

Eu recomand aceasta clinica oricui care isi doreste o echipa dentara profi si empatica!

A-2
Alina P.

Life Dental Spa!!!
Într-adevăr numele clinicii este foarte bine ales și reflectă feeling-ul pe care îl ai pe tot parcursul ședinței de stomatologie.
Nu am decât cuvinte de apreciere pentru aceasta clinică pentru experienta excelentă și pentru întregul personal cu care am interacționat pe tot parcursul tratamentului.
5stars R not enough pentru dna dr Maria Bogdan! Experiență extraordinară, rezultat extraordinar! Extrem de mulțumită! Voi reveni cu mare placere în clinica din str. Frumoasă.

d
Dorina D.

Am ajuns la aceasta clinica dupa inscrierea printr-o postare publicitara privitoare consult si plan tratament gratuit, cautand de fapt un tratament mai inovator pentru o paradontoza confirmata anterior intr-o alta clinica. Incepand de la interactiunea initiala cu call center-ul si pana la cea cu d-na doctor Georgiana Dinu, la care am fost programat, totul a fost 100% profesionist si intr-un mediu ambiant relaxat. In urma sedintei initiale cu d-na doctor unde mi s-au oferit detalii clare, am urmat un tratament laser pentru paradontoza in 4 sedinte si mai mult, l-am adus si pe junior pentru tratarea (tot cu laser) a unor carii si a unei o gingivite in desfasurare. Din experienta avuta per total, recomand aceasta clinica si in particular medicul mentionat mai sus.

g
George C.

Am ajuns la acesta clinica printr-un voucher Vodafone, detartraj si igienizare dentara. Am fost preluat de d-na doctor Georgiana Dinu…Un doctor de nota 10, foarte empatica, care are o abordare exemplara fata de pacienti…a fost super profi, mi-a explicat procedura, planul de tratament… Sincer, mai rar doctori ca d-na dr. Georgiana Dinu, calda, empatica, nu am simtit nici cea mai mica durere. O recomand cu drag oricui doreste sa treaca pragul Life Dental Spa Victoriei…Voi reveni cu placere la d-na doctor, pt. ca am ramas profund impresionat de modul dumneaei de a te trata…trateaza pacientul ca si cum dummeaei ar fi acolo, pe acel scaun…si nu te lasa sa pleci pana nu ii confirmi ca esti multumit de rezultatul procedurii. D-na dr. Georgiana Dinu, sunteti un exemplu de urmat! Succes in cariera!⭐⭐⭐⭐⭐

photo-1615022702095-ff2c036f3360
Alexandra I.

De cel puțin 4 ani sunt super mulțumită de serviciile oferite. Am ajuns cu fetița mea care avea o mare problema( rădăcina unui dinte era ieșită prin gingie) iar dna. doctor Sultan a tratat-o profesional, cu grijă si răbdare astfel încât cea mică nu a simțit pic de durere. De atunci am rămas fidelă acestei clinici. Prețurile sunt mai mult decât accesibile, cel puțin pentru serviciile pe care noi le-am accesat. Recomand cu mare căldură!

ggg
Anne C.

Am fost cu fetita pentru tratarea unor carii si verificarea necesitatii unui aparat dentar, asa cum ne fusese recomandat de catre alt medic si…surpriza… doamna doctor Obreja ne – a transmis ca nu este nevoie de acest aparat, deci, nici vorba de bagat mana in buzunar si recomandari fara rost, asa cum am citit in alte review-uri.
Nu pot inca sa imi exprim parerea despre rezultatul tratamentelor fiindcă nu am avut probleme grave, doar niste sigilari si mici carii, insa, pot spune ca absolut tot personalul este solar, primitor, calm, astfel incat ajungi sa vii cu drag la stomatolog.
Fetele de la receptie sunt minunate, de pus pe rana!

sss
Sandru I.

Sunt pacientă la această clinică din 2022, şi până acum nu am fost dezamăgită de serviciile oferite de medicii bine pregătiți. De asemenea, fetele de la recepție au fost mereu drăguțe şi m-au ajutat de fiecare dată cu o programare de câte ori aveam o urgență.

bbb
Cretu M.

Ca pacient al mai multor unități medicale stomatologice, încă din anii de studenție când m-au chinuit la Spitalul Studențesc cu cleștii de scos cuie, sunt profund impresionat acum de aparatura de ultima generație inclusiv laser, folosita de Life Dental Spa Victoriei, precum și de atitudinea ireproșabilă a personalului medical, care da dovada de empatie și respecta fata de pacienți.

LIFE DENTAL SPA

Clinica Life Dental Spa primeste pacienti atat din Bucuresti, cat si din alte orase ale Romaniei ori din afara tarii. Niciun drum nu este prea lung, comparativ cu redarea bucuriei de a zambi intr-un timp record!

Specialistii Life Dental Spa ofera servicii de calitate, pentru ca tu sa iti poti desfasura activitatile zilnice fara sa te simti stanjenit de propriul zambet.

clinici stomatologice romania
De Acord Termeni si Conditii